Experience expert neck surgery and personalized spinal care at our Englewood office.
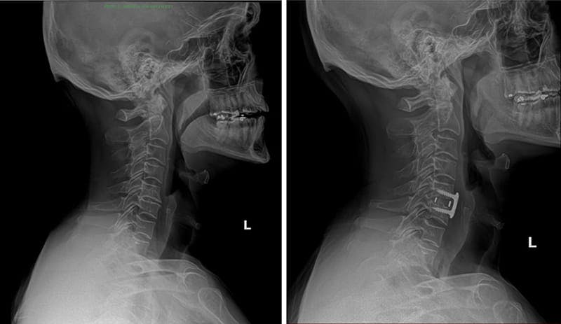
Why Might ACDF Be Recommended?
While not every neck problem requires surgery, ACDF can be a valuable option if non-surgical therapies fail or if neurological symptoms worsen. Compression of nerve roots and the spinal cord may manifest as persistent pain, numbness, or arm weakness. Indications for this procedure include:
- Degenerative disc disease in the cervical region
- Herniated discs causing arm, shoulder, or neck discomfort
- Spinal instability or progressive neurological deficits





